Get Benign Enlargement Of Subarachnoid Space Images

My son was diagnosed with benign enlargement of the subarachnoid space also known as bess.

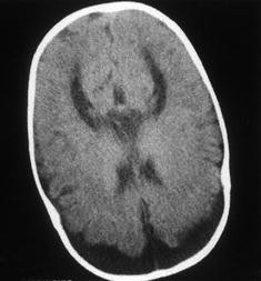
Get Benign Enlargement Of Subarachnoid Space Images. Benign enlargement of the subarachnoid spaces was diagnosed in 41 infants on the basis of ultrasound and/or ct scan findings. We report on two infants who had rapid increases in head circumference, family histories of macrocephaly, and normal neurodevelopment.

Benign Enlargement Of Subarachnoid Spaces A Cause Of Subdural Haemorrhage In Toddlers Bmj Case Reports
Benign Enlargement Of Subarachnoid Spaces A Cause Of Subdural Haemorrhage In Toddlers Bmj Case Reports from casereports.bmj.com
4 wo f with macrocephaly. Benign enlargement of the subarachnoid space (bess) is a common incidental finding on neuroimaging in infants. Odita}, journal={child's benign enlargement of the subarachnoid spaces in the infant.

Benign enlargement of subarachnoid spaces of infancy.

Benign enlargement of the subarachnoid spaces in infancy. .of the subarachnoid spaces overlying the anterior cerebral convexities (asterisks) consistent with benign enlargement of subarachnoid spaces (bess) of infancy, which is a normal variant. Another key distinction between benign enlargement of the subarachnoid spaces and a subdural fluid collection, is that in the former the cortical veins will be adjacent to the inner table of the calvaria on mri and ultrasound; Benign enlargement of the subarachnoid spaces in the infant.